【毎週月曜~日曜まで毎日診療】仙台駅、榴ヶ岡駅から徒歩圏内のアクセスに便利な歯医者です。お電話はなるべく診療時間内にお願いします。

仙台MTビル(旧森ビル)の歯科医院

〒983-0852 仙台市宮城野区榴岡4-2-3仙台MTビル1F   (廻鮮寿司塩釜港さんの裏)

JR仙台駅 徒歩3分、地下駐車場40台あり、付近に駐輪場193台あり

診療時間(祝祭日のみ休診)
平日 10:00-14:00 / 16:00-20:00
土曜  9:00-13:00 / 14:00-18:00
日曜  9:00-14:00
お口に関することなら、
お気軽にご相談ください
022-253-6141

【毎週月曜~日曜まで毎日診療】仙台駅、榴ヶ岡駅から徒歩圏内のアクセスに便利な歯医者です。お電話はなるべく診療時間内にお願いします。

仙台MTビル(旧森ビル)の歯科医院

〒983-0852 仙台市宮城野区榴岡4-2-3仙台MTビル1F   (廻鮮寿司塩釜港さんの裏)

JR仙台駅 徒歩3分、地下駐車場40台あり、付近に駐輪場193台あり

診療時間(祝祭日のみ休診)
平日 10:00-14:00 / 16:00-20:00
土曜  9:00-13:00 / 14:00-18:00
日曜  9:00-14:00
お口に関することなら、
お気軽にご相談ください
022-253-6141

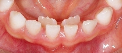
永久歯が乳歯の後ろから
生えてきたときの対応

永久歯が乳歯の後ろから生えてくるのは珍しいことではありません。基本的には歯は舌で押し出されるために自然に本来の位置に戻ります。異常なことではありませんので、安心してください。

状況ごとの対応

1. 多くの場合は経過観察で問題なし

歯の生え変わりは下の前歯から起こりますが、乳歯が抜けないうちに永久歯が重なって生えてくると心配になると思います。ですが、多くの場合は経過観察で問題はありません。乳歯が抜けた後、内側からの舌に押される力と外側からの唇に押される力により、正常な位置に永久歯の前歯が誘導されます。

 

2. 乳歯がぐらついていない場合は、抜歯が必要な場合もある

乳歯が残ったままで、永久歯の前歯が生えてきた場合、だいたいは乳歯がぐらぐらしていて抜ける準備が整っています。しかし、まれではありますが、乳歯がぐらついていない状態で永久歯が重なるように生えてきてしまうケースもみられます。これは歯ぐきの中で永久歯の位置がずれてしまい、乳歯の根を溶かすことが出来なかったために生じたものです。この場合は、歯医者さんでの抜歯が必要になる可能性もあります。乳歯を抜歯することで、永久歯は自然と正常な位置に移動していきます。

受診の目安は
乳歯がぐらつかない、動かない

前歯の乳歯と永久歯の重なりはほとんどの場合は自然に改善されますが、永久歯が生えてきたのに乳歯が全く動かない場合や、乳歯が抜けたのに永久歯が正しい位置に移動しない場合は、歯医者さんの受診をおすすめします。適切な時期に適切な処置を行えば、多くの場合は正しい歯並びになります。まずは定期的にお子さんの前歯の様子を観察して、状況をきちんと把握するようにしましょう。

どうぞお気軽にご相談下さい

ノーブルデンタルクリニック仙台は【日曜診療】【夜間診療:平日の夜8時まで受付】です。

診療時間

休診日は祝祭日のみ
土日も診療しています
 
午前
午後
診療時間

平日 10:00-14:00/16:00-20:00
土曜   9:00-13:00/14:00-18:00
日曜   9:00-14:00

ご予約・お問合せ

お気軽にご連絡ください。

022-253-6141

アクセス

022-253-6141
住所

〒983-0852
仙台市宮城野区榴岡4-2-3
仙台MTビル1F(大戸屋さんの裏)

仙台駅東口より徒歩3分
地下駐車場40台あり
付近に駐輪場193台あり

院内の様子

当院の院内の様子をインドアビューでご紹介。画像をクリックし、ぜひご覧ください。