【毎週月曜~日曜まで毎日診療】仙台駅、榴ヶ岡駅から徒歩圏内のアクセスに便利な歯医者です。お電話はなるべく診療時間内にお願いします。

仙台MTビル(旧森ビル)の歯科医院

〒983-0852 仙台市宮城野区榴岡4-2-3仙台MTビル1F   (廻鮮寿司塩釜港さんの裏)

JR仙台駅 徒歩3分、地下駐車場40台あり、付近に駐輪場193台あり

診療時間(祝祭日のみ休診)
平日 10:00-14:00 / 16:00-20:00
土曜  9:00-13:00 / 14:00-18:00
日曜  9:00-14:00
お口に関することなら、
お気軽にご相談ください
022-253-6141

【毎週月曜~日曜まで毎日診療】仙台駅、榴ヶ岡駅から徒歩圏内のアクセスに便利な歯医者です。お電話はなるべく診療時間内にお願いします。

仙台MTビル(旧森ビル)の歯科医院

〒983-0852 仙台市宮城野区榴岡4-2-3仙台MTビル1F   (廻鮮寿司塩釜港さんの裏)

JR仙台駅 徒歩3分、地下駐車場40台あり、付近に駐輪場193台あり

診療時間(祝祭日のみ休診)
平日 10:00-14:00 / 16:00-20:00
土曜  9:00-13:00 / 14:00-18:00
日曜  9:00-14:00
お口に関することなら、
お気軽にご相談ください
022-253-6141

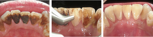
歯の茶渋除去

茶渋をキレイにする方法と費用

クリーニング

茶渋がついてた歯は歯磨きだけではなかなか落とすことが出来ません。茶渋やタバコのヤニなどの着色を落とすのが歯のクリーニングです。歯医者さんでしてもらうことで歯と歯の隙間、歯ぐきの間など細かい場所まできれいになります。1回で茶渋が落ちる人もいますが、白さを継続するには1~3か月に1度ぐらい定期的に通院することが大切です。

PMTC(Professional Mechanical Tooth Cleaning)

PMTCとはProfessional Mechanical Tooth Cleaningの略称です。歯医者さんで機械とフッ素が配合された研磨ジェルを使用し、歯を磨くことを言います。歯の表面と同時に、歯ぐきの境目や歯間部のプラークも取ることが出来ます。治療後は、茶渋やヤニなどの着色が綺麗になるのと合わせて表面にプラークがつきにくくなるのも利点です。基本的に自費治療になるので、5000円~20000円ほどかかります。

ホームホワイトニング

ホームホワイトニングとは歯医者さんで歯型をとってマウスピースを作成してもらい、もらった薬剤を用いて自宅でするホワイトニングのことです。薬剤をマウスピースに入れて、一定時間はめることで歯を白くしていきます。薬剤の濃度は歯医者さんによって扱いが異なりますが時間をかけてホワイトニングすることが可能です。ホームホワイトニングの料金相場は約20000円~40000円で、その後に定期的に薬剤を購入すると約5000円~10000円(2週間分)かかります。

オフィスホワイトニング

オフィスホワイトニングとは、歯医者さんで薬剤を歯面に塗り、光を当てることで歯を白くする方法です。即効性がありますが色の戻りが早いため、定期的に施術してもらう必要があります。オフィスホワイトニングの料金相場は約30000円~50000円です。

茶渋で歯が黄ばむ原因

①紅茶で歯が黄ばむ原因・理由

紅茶の成分には色素や渋みの原因のカフェイン、タンニンが含まれています。紅茶を摂取することでそれらの成分が唾液の中のカルシウムのような金属イオンと結合します。そして歯面を覆う膜(ペリクル層)に付着して残留することで歯の黄ばみやステインの要因となるのです。タンニンは紅茶だけでなく緑茶などにも入っていますが、量としては紅茶が最も多く含まれているので注意が必要です。またカフェイン成分はコーヒーの中にも入っています。イメージ的にはコーヒーの方が色素が濃いので黄ばみやステインの原因となりそうですが、実は紅茶の方がより着色しやすいです。そのため紅茶を日頃多く飲む人や、長い期間飲んでいる人ほど着色汚れが目立ちやすいのです。

 

②緑茶で歯が黄ばむ原因・理由

緑茶には紅茶と同様に、色素や渋みの原因となるタンニンが入っています。緑茶を摂取することで歯面にタンニンがつき、それが残留することで歯の黄ばみとなります。緑茶、紅茶、ウーロン茶の中であれば、緑茶はタンニンが少ない方です。お茶の中でタンニンが少ないものを選ぶとしたら、ほうじ茶、麦茶、ソバ茶から選ぶと良いです。

 

③ウーロン茶で歯が黄ばむ原因・理由

ウーロン茶も紅茶や緑茶と同様に、色素や渋みの原因となるタンニンが入っています。それを摂取することでタンニンがつき、磨き残しなどで残留することで歯の黄ばみとなります。ペットボトルに入ったウーロン茶などよりも茶葉から淹れたお茶の方が色素が濃くなるため茶渋がつきやすいです。

どうぞお気軽にご相談下さい

ノーブルデンタルクリニック仙台は【日曜診療】【夜間診療:平日の夜8時まで受付】です。

診療時間

休診日は祝祭日のみ
土日も診療しています
 
午前
午後
診療時間

平日 10:00-14:00/16:00-20:00
土曜   9:00-13:00/14:00-18:00
日曜   9:00-14:00

ご予約・お問合せ

お気軽にご連絡ください。

022-253-6141

アクセス

022-253-6141
住所

〒983-0852
仙台市宮城野区榴岡4-2-3
仙台MTビル1F(大戸屋さんの裏)

仙台駅東口より徒歩3分
地下駐車場40台あり
付近に駐輪場193台あり

院内の様子

当院の院内の様子をインドアビューでご紹介。画像をクリックし、ぜひご覧ください。