【毎週月曜~日曜まで毎日診療】仙台駅、榴ヶ岡駅から徒歩圏内のアクセスに便利な歯医者です。お電話はなるべく診療時間内にお願いします。

仙台MTビル(旧森ビル)の歯科医院

〒983-0852 仙台市宮城野区榴岡4-2-3仙台MTビル1F   (廻鮮寿司塩釜港さんの裏)

JR仙台駅 徒歩3分、地下駐車場40台あり、付近に駐輪場193台あり

診療時間(祝祭日のみ休診)
平日 10:00-14:00 / 16:00-20:00
土曜  9:00-13:00 / 14:00-18:00
日曜  9:00-14:00

【毎週月曜~日曜まで毎日診療】仙台駅、榴ヶ岡駅から徒歩圏内のアクセスに便利な歯医者です。お電話はなるべく診療時間内にお願いします。

仙台MTビル(旧森ビル)の歯科医院

〒983-0852 仙台市宮城野区榴岡4-2-3仙台MTビル1F   (廻鮮寿司塩釜港さんの裏)

JR仙台駅 徒歩3分、地下駐車場40台あり、付近に駐輪場193台あり

診療時間(祝祭日のみ休診)
平日 10:00-14:00 / 16:00-20:00
土曜  9:00-13:00 / 14:00-18:00
日曜  9:00-14:00

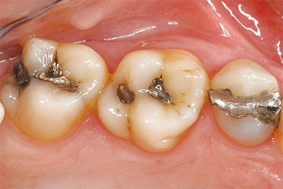
銀歯と歯科金属アレルギー

腰痛、背中や首の痛み、眼精疲労、鼻づまり、頭痛、手足のしびれ、関節の痛み、冷え性、全身がだるいなどの体調不良や、不眠、疲労感などの神経症状など、慢性的な不調で悩んでいる方は多いです。これらの多くは更年期障害と診断されることが多いですが、口の中に原因がある場合もあります。その多くが歯科金属アレルギーだと言われています。

歯科金属アレルギーのよくある質問

Q.歯科金属アレルギーとは何ですか

歯の治療で歯科金属(かぶせ物や詰め物など)を口の中に装着した方は多いと思います。この金属によって様々な慢性症状や慢性疾患が発生している可能性があり、これらの症状や疾患が歯科金属アレルギーと呼ばれています。

Q.アレルギーを起こしやすい金属はありますか

水銀(アマルガム)が起こしやすいと言われています。水銀は神経に対する悪影響も指摘されるほど有害性があり、アレルギー反応を引き起こします。歯科金属に含まれるニッケル・コバルト・クロム・パラジウムなどもアレルギー反応を起こしやすいと言われています。

Q.どんな病気や症状が発生しますか

掌蹠膿疱症という難治性の皮膚疾患がもっとも因果関係が高いと言われています。他に歯科金属との関連性が高いものとして、難治性の皮膚疾患(アトピー性皮膚炎など)・慢性疲労症候群・自律神経失調症(頭痛・肩こり・イライラ・めまい・不眠・冷え性など)があります。

歯科金属によるアレルギー症状

①口腔粘膜の炎症

歯科金属が入っている周囲の粘膜がただれることがあります。また、口角や口唇に炎症が起きたり、口内炎が出来やすくなります

 
②掌蹠膿疱症

掌蹠膿疱症とは難治性の皮膚疾患で、手のひらや足の裏に膿の溜まった膿疱が数多くできる慢性の疾患です。小さな水ぶくれや赤い発疹ができ、徐々に拡大して膿疱になります。周期的に良くなったりと悪くなったりを繰り返し、痒みを伴うことがあります。歯科金属の除去だけでは治らないことも多く、歯性病巣の治療を同時に行う場合もあります。

 
③口腔扁平苔癬

頬の粘膜や歯肉が白くただれる難治性の慢性疾患です。白いレース状に粘膜が硬くなり、周囲に炎症が生じます。まれにがん化することもあります。潰瘍やびらんが出来た場合は、触ると痛みが発生したり、食べ物が食べにくくなります。

 
④接触性皮膚炎・湿疹

何らかの物質が皮膚に接触し、それが刺激やアレルギー反応となって炎症を起こしたものです。症状として湿疹や赤み、腫れ、かゆみ、水ぶくれなどが発生します。基本的に原因物質が触れた部分に症状が発生します。

 
⑤味覚異常(味覚障害)

アレルギー反応が起こると、舌の表面の味覚を感じる組織がダメージを受けてきちんと機能しなくなるために、味覚を正常に感じることが出来なくなる味覚異常(味覚障害)を引き起こす場合もあります。

アマルガム除去後の症状回復

銀歯をセラミックに交換

これまでに歯科医院で治療を受けた方は、何らかの金属が口の中にあることが多いです。口の中に金属があることで体全体にな悪影響を及ぼすリスクが発生します。そのため、ノンメタル(メタルフリー)治療という金属を使用しない治療を希望する方が増えています。体調が良くなく、専門医でも思ったような改善がなく悩んでいる方は口の中に不調の原因があるのかもしれません。

ノンメタル治療としてはオールセラミックがあり、全てセラミックで治療します。 透明感があり見た目も天然の歯に近いので周りの歯と調和します。もちろん金属ではないので金属アレルギーの心配はありません。

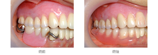
ノンクラスプデンチャー

『ノンクラスプデンチャー』は、金属製の金具の代わりにプラスチック製の義歯床で支えます。そのために金属アレルギーの方には安心です。また、口を開けてもが金具が見えないので見た目も良好です。さらに、今までの入れ歯とは異なり、破折に強い素材を使用して歯肉の色調とも調和します。

パソコン|モバイル
ページトップに戻る