【毎週月曜~日曜まで毎日診療】仙台駅、榴ヶ岡駅から徒歩圏内のアクセスに便利な歯医者です。お電話はなるべく診療時間内にお願いします。

仙台MTビル(旧森ビル)の歯科医院

〒983-0852 仙台市宮城野区榴岡4-2-3仙台MTビル1F   (廻鮮寿司塩釜港さんの裏)

JR仙台駅 徒歩3分、地下駐車場40台あり、付近に駐輪場193台あり

診療時間(祝祭日のみ休診)
平日 10:00-14:00 / 16:00-20:00
土曜  9:00-13:00 / 14:00-18:00
日曜  9:00-14:00

【毎週月曜~日曜まで毎日診療】仙台駅、榴ヶ岡駅から徒歩圏内のアクセスに便利な歯医者です。お電話はなるべく診療時間内にお願いします。

仙台MTビル(旧森ビル)の歯科医院

〒983-0852 仙台市宮城野区榴岡4-2-3仙台MTビル1F   (廻鮮寿司塩釜港さんの裏)

JR仙台駅 徒歩3分、地下駐車場40台あり、付近に駐輪場193台あり

診療時間(祝祭日のみ休診)
平日 10:00-14:00 / 16:00-20:00
土曜  9:00-13:00 / 14:00-18:00
日曜  9:00-14:00
Dental esthetic

審美歯科|白い詰め物・被せ物
(ノーブルデンタル仙台)

当院では、美しい口元の実現のために歯の色に近い白色の詰め物と被せ物を多数ご用意しております。ここでは美しさに焦点を当てた治療について説明していきます。

様々なメニューをご用意

全ての患者さまの要望に応えるため、メニューを豊富にご用意しております。予算や体質に合わせて、最適なものをご提案いたします。

費用を最小限に抑えた治療

どのぐらい費用がかかるのか不安な方も多いと思います。当院では被せ物ごとの費用を治療前にきちんと説明し、追加で費用が発生することは全くありません。また、保険治療が可能な部分はなるべく適応して、費用を最小限に抑えます。

きちんとした素材の説明

各治療コースの費用や、メリット・デメリットについて詳細に記載したパンフレットをお渡ししています。ご家族とじっくり相談してから決めていただくことが可能です。

最新機器のある技工所と提携

当院ではセラミック製作が得意で実績のある歯科技工所と連携して、より美しい被せ物や詰め物を提供します。また、場合によっては専門の歯科技工士が立ち会うこともあります。

機能性の追求

見た目だけでなく、物をきちんと咬んだり、しっかりと発音できるようにと機能性の部分も元々の歯と同じぐらいに再現します。

きちんとした完成形の確認

当院では、PMMA製の仮歯を作成して最終的な被せ物の審美性・適合の状態・咬み合わせなどをきちんと確認して、患者さんのイメージどおりの被せ物を製作します。

しっかりとした保障

審美歯科治療は、健康保険の適応外で自費診療となります。治療費が高額のため、保証制度を希望する方も多いかと思います。当院では、審美歯科治療に対して1年間の保証制度を設けています。保証があれば何かあった時も安心できます。なお、この保証は、当院で定期的なメインテナンスを受けられている方のみ対象です。

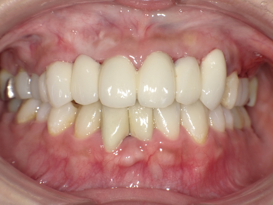
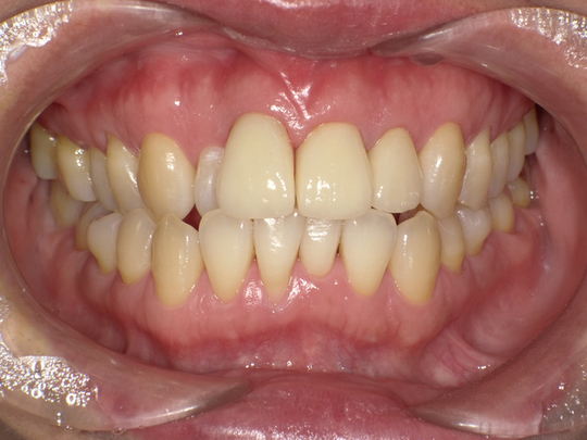
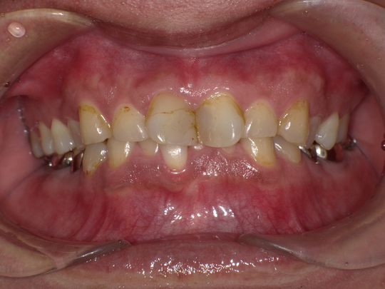
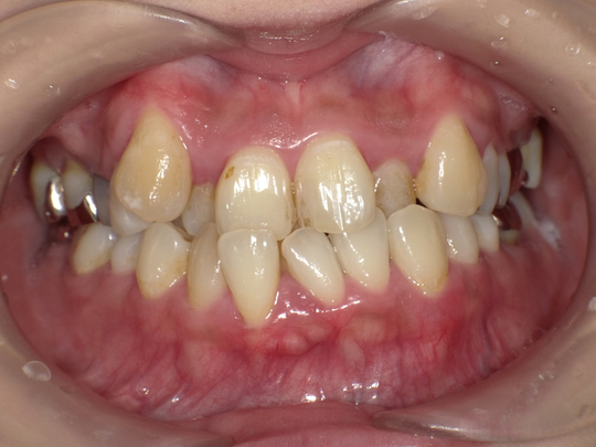
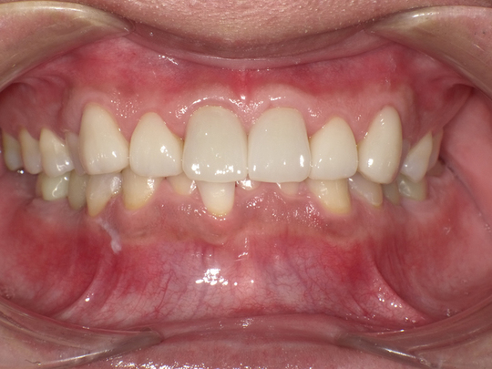
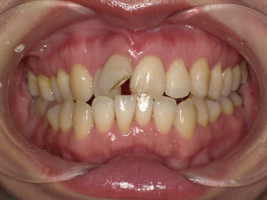
症例のイメージ

欠けた歯を治したい

歯をきれいにしたい

歯並びを治したい

メニューの詳細

ジルコニアセラミック

ジルコニアセラミックは強度の高いジルコニアのフレームに審美性に優れたセラミックを築盛した被せ物です。金属と同程度の強度を持ち、本物の歯のような透明感も再現できます。変色することもありません。現在の歯科治療では最先端の白い被せ物です。セラミック治療をしたけれど何度か欠けてしまった方でも安心です。ジルコニアセラミックの特徴は次の通りです。

美しさを再現

前歯に使用するジルコニアセラミックは技工士さんがオーダーメイドで作ります。美しさを再現できる審美材料としての評価が極めて高く、アメリカとヨーロッパでは5万以上の症例で使用されています。

強度がある

従来のセラミックの約10倍以上の強度があり、破折しにくい素材です。咬み合わせの力が大きくかかる後方の奥歯には最適な治療法です。

変色や劣化を起こしにくい

ジルコニアは安定した材料のため変色や劣化を起こしにくく、長期間安定して口の中で機能します。

生体親和性がある

歯や歯ぐきに調和して、体に悪影響を与えることはありません。

金属アレルギーを起こさない

金属アレルギーの方にも安心して使用できます。

オールセラミック

オールセラミックは全てセラミックで出来た被せ物です。本物の歯のような透明感を再現できますが、若干割れやすいというデメリットもあります。おもに前歯に使用します。オールセラミックの特徴は次の通りです。

美しさを再現

本物の歯と同じような透明感を再現できます。

咬み合わせの歯への負担が少ない

天然歯と同程度の硬さのため、反対の歯にあまり負担がかかりません。

強度がやや劣る

少し割れやすいというデメリットがあります。

ハイブリッドセラミック

ハイブリッドセラミックはセラミックとプラスチックを混合した被せ物です。価格は抑えられますが、若干割れやすいというデメリットもあります。また、オールセラミックと比較すると透明感がやや劣ります。ハイブリッドセラミックの特徴は次の通りです。

咬んだ感覚が天然歯に近い

セラミックの硬さとプラスチックの柔らかさを持ち、その弾性から天然歯のような咬み心地を再現することができます。

治療費が安い

高額になりがちな補綴治療の中でも、比較的安価な被せ物です。

強度がやや劣る

少し割れやすいというデメリットがあります。

透明感がやや劣る

オールセラミックと比較すると透明感がやや劣ります。

メタルボンド

メタルボンドは金属の表側をセラミックで加工した被せ物です。外側はセラミックのため見た目がよく、内側は金属のため割れにくく丈夫という両方の利点を持っています。ただ、金属アレルギーの方には使用できないというデメリットがあります。メタルボンドの特徴は次の通りです。

見た目がきれいに仕上がる

天然の歯に見た目が近く、銀歯に比べきれいに仕上がります。

強度がある

内面が金属のため、割れにくく強度があります。

金属アレルギーの方には使用不可

内面が金属のため、金属アレルギーの方には使用できません。

歯肉が下がると金属がみえる

歯肉の退縮によって、金属が露出する場合があります。

セラミックインレー

セラミックインレーはセラミックで出来た審美性の高い詰め物です。オールセラミック、ジルコニア、ハイブリッドセラミックなどの様々な素材を扱っております。

料金表

当院の被せ物の料金について、説明いたします。

基本料金表(税込み)
ジルコニアセラミック ¥165,000
オールセラミック ¥110,000
オールジルコニア ¥110,000
メタルボンド ¥71,500
ハイブリッドセラミック ¥71,500

不明な点があれば、気軽に問合せください。

オールセラミッククラウン法

オールセラミッククラウン法は、金属の被せ物を白くしたい場合、古い差し歯を交換する場合、大きな虫歯などをきれいにする場合などに効果的な治療です。 虫歯の治療後に歯を全体的に削ってセラミック素材のクラウンを被せる方法で、歯の形や生えている方向を大きく修正して歯並びを整えることが可能です。

歯の色・歯の形・歯並びなどを総合的に改善でき、光の透過性が天然歯とほとんど変わらないので、自然の歯の透明感が再現できます。 金属を全く使用しないので、金属アレルギーの方にも安心して使用できます。また、この方法で部分的な歯列の矯正も可能です。

審美歯科の流れ
(ノーブルデンタルクリニック仙台)

検査

検査器具やレントゲンを使用して、歯やあごの骨の状態を詳しく調べます。

治療計画の説明

歯やあごの骨など、お口がどんな状態なのかをご説明し、治療計画をご案内します。

歯を削合

詰め物や被せ物の土台になる歯を削ります。

詰め物や被せ物を装着

詰め物や被せ物を装着します。

メインテナンス

詰め物や被せ物を長持ちさせるために、定期検診や歯のクリーニングを受けることをおすすめします。

審美歯科Q&A

審美歯科に関する質問と回答

Q.治療期間はどのくらいですか?
A.治療する歯の本数と内容によって変わります。単純に被せるだけなら最短で2回ですが、見た目をきれいにするために回数がもう少しかかることもあります。当院では、なるべく治療の期間と回数を減らすように努力していますが、詳細は診断後の判断となります。

Q.どのくらいの費用がかかりますか?
A.治療する歯の本数と内容によって変わります。当院では予算に応じて「ここは保険治療で」「ここは自費治療で」とプランニングし、最小限に抑えた費用をご提案いたします。

Q.審美歯科治療に保険は適用されますか?
A.歯科治療は保険治療と自費治療に分けられますが、審美歯科治療は使用する材質によっては保険の適用外となります。しかし、保険が適用されるレジンや金属より、保険外のセラミックの方が美しく耐久性があります。

Q.銀歯を目立たなくする方法はありますか?
A.銀歯を外して白く透明感の高いセラミックに交換することにより、自然な色合いにすることが可能です。

Q.セラミックは変色しませんか?
A.セラミックとは陶材のことで、食器などに使用されている素材です。陶器と同じように水分の吸収がないのでほとんど変色せず、歯の白さを保つことが可能です。また、セラミックの最大の特徴は、他の素材に比べて天然の歯に最も近い色調と透明感を再現できることです。歯を自然な色合いに仕上げたい場合は、セラミック治療がおすすめです。

Q.金属アレルギーなのですが、治療できますか?
A.セラミック・レジンなどの素材は金属製ではないため、金属アレルギーの方にも安心して治療できます。当院では、症状やご希望に合わせて最適な素材を選択することが出来ます。

Q.セラミックとハイブリッドセラミックの違いは何ですか?
A.セラミックは陶材のことで、自然の光を透過するほとんど変色しない材料です。ハイブリッドセラミックはセラミックとレジン(プラスチック)を混合した材料で変色する可能性があります。

Q.治療して詰め物をした場所でもまた虫歯になりますか?
A.また虫歯になる可能性はあります。一般的に2次カリエスと呼ばれています。詰め物が歯とは異なる人工的な材料のため、目には見えない段差や隙間から虫歯になるためです。

Q.自費で高いものを入れた方が保険のものよりも長く持ちますか?
A.入れる場所にもよりますが、自費のより良いものを入れることで、その入れた歯自体や咬み合っている歯に良い影響を与えます。しかし、自費治療でも保険治療でも長く持たせるためには定期的なメインテナンスが必要不可欠です。

Q.保険治療と自費治療で使用できる材質の違いは何ですか?
A.保険診療で使用できる材料は大きく分けて金銀パラジウム合金とレジンの2種類です。前歯のような高い審美性が必要な部位にはセラミックやジルコニアが最適ですが、保険診療では両方とも使用できません。自費治療では材質に制限がないので理想的な治療が可能です。

Q.どのくらいもちますか?保証期間とは、その期間もつということですか?
A.どのくらいもつかは一概には言えません。元々の歯の状態や咬み合わせ、メインテナンスの状況などにより異なります。保証期間はやり直しが必要になった場合に医院で保証させていただく期間です。(保険の被せ物では2年間という約束があります)

Q.被せ物をしている歯の歯ぐきの部分が黒くなったのですがどうしてですか?
A.歯科用の金属材料(特に土台の材料)による色素沈着やブラックマージンと言われる金属と歯の境目が見えてしまう状況(保険の材料に多くみられる)が原因と考えられます。また、たばこによるメラニン色素の沈着の場合もあります。

Q.審美歯科とホワイトニングの違いは何ですか?
A.「審美歯科とホワイトニングの違いは何ですか?」というご質問をよく患者様から受けます。歯を白くきれいにすること自体は基本的に同じですが、その方法が異なります。審美歯科治療は詰め物や被せ物を用いて歯の色・歯の形・歯並びをより美しくするための治療です。ホワイトニングは薬剤を利用して歯を白くする治療です。審美歯科治療では歯を削る必要性があることがホワイトニングと異なる点です。

Q.審美歯科とは何ですか?
A.審美歯科とは美しさと自然な口元の実現を目的とした歯科治療のことです。歯には機能性(食べ物をきちんと食べられる)と審美性(きれいな歯並びと美しい歯)という二つの役割があります。審美歯科治療ではその両面を重視していきます。

パソコン|モバイル
ページトップに戻る