【毎週月曜~日曜まで毎日診療】仙台駅、榴ヶ岡駅から徒歩圏内のアクセスに便利な歯医者です。お電話はなるべく診療時間内にお願いします。

仙台MTビル(旧森ビル)の歯科医院

〒983-0852 仙台市宮城野区榴岡4-2-3仙台MTビル1F   (廻鮮寿司塩釜港さんの裏)

JR仙台駅 徒歩3分、地下駐車場40台あり、付近に駐輪場193台あり

診療時間(祝祭日のみ休診)
平日 10:00-14:00 / 16:00-20:00
土曜  9:00-13:00 / 14:00-18:00
日曜  9:00-14:00

【毎週月曜~日曜まで毎日診療】仙台駅、榴ヶ岡駅から徒歩圏内のアクセスに便利な歯医者です。お電話はなるべく診療時間内にお願いします。

仙台MTビル(旧森ビル)の歯科医院

〒983-0852 仙台市宮城野区榴岡4-2-3仙台MTビル1F   (廻鮮寿司塩釜港さんの裏)

JR仙台駅 徒歩3分、地下駐車場40台あり、付近に駐輪場193台あり

診療時間(祝祭日のみ休診)
平日 10:00-14:00 / 16:00-20:00
土曜  9:00-13:00 / 14:00-18:00
日曜  9:00-14:00
Invisalign

インビザライン

インビザラインとは

アメリカのアライン・テクノロジー社が開発したマウスピース型カスタムメイド矯正装置(インビザライン)は、これまでに世界各国で900万人を超える方が治療を受けた実績のある矯正装置です。透明な装置なので目立たず、装着していても周りからはほとんど分かりません。また、ワイヤーやブラケットを歯につける必要がないため、痛みや違和感は大幅に軽減されます。自分で取り外すことができるのも大きなメリットです。食事や歯みがきなどは普段通りに行え、装置自体も清潔に保つことができます。

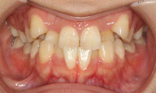
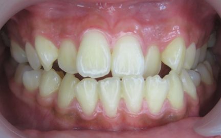
症例の紹介

治療前後の症例を紹介します。

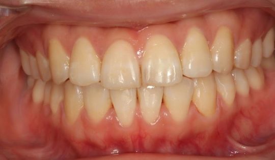
叢生

治療前

治療後

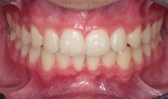
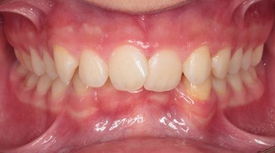
過蓋咬合

治療前

治療後

反対咬合

治療前

治療後

おすすめの方

ワイヤーが目立つのが嫌な方

ワイヤー矯正は見た目が目立つので嫌がる方もいますが、透明なので目立つことはありません。

他の人に気づかれたくない方

透明なので目立ちにくく、矯正治療中であることを周りに気付かれることはほとんどありません。

食事をおいしくしたい方

取り外しが簡単なので食事中だけマウスピースを外して、食事をきちんと楽しむことが可能です。

痛いのが嫌な方

ワイヤー矯正など従来の矯正治療と比べて、痛みは少ないです。

通院回数を短くしたい方

ワイヤー矯正など従来の矯正治療と比べて、通院回数は少ないです。

インビザラインのメリット

痛みが少ない

ワイヤーによる矯正は月に1度のワイヤー交換ですが、マウスピースは毎週交換します。薄くてしなやかな素材を使い、歯を少しずつ動かすため、痛みを抑えることができます。

目立たない

厚さ0.5mmの透明なマウスピースを使用するため、目立たず、周囲から矯正治療中であることが気付かれにくい方法です。

虫歯になりにくい

取り外しが可能で、普段と同じように歯みがきをすることができます。ワイヤーやブラケットを歯に付けていることによる汚れや磨き残しの心配がありません。

歯へのダメージが少ない

歯が移動する距離は1度に0.25mm以内と少しずつ動かすため歯に負担がかかりません。歯に取り付けたブラケット(ワイヤー矯正時)を外す際にエナメル質を傷付けるような心配もありません。

シミュレーション動画を見ることができる

治療後のシミュレーションが動画で見られるのもマウスピース型カスタムメイド矯正装置(インビザライン)の特長です。具体的にイメージすることで、矯正治療へのモチベーションも高まります。

金属アレルギーの方もOK

地元マウスピース型カスタムメイド矯正装置(インビザライン)はプラスチックでできており、金属は一切使用していません。金属アレルギーの方も安心してご利用いただけます。

インビザラインの注意事項

  • 1
    1日に20時間以上の装着時間を守り、交換のタイミングは医師の指示に従って下さい。
  • 2
    食事や歯磨きをする時はマウスピースを外してください。
  • 3
    マウスピースの交換は夕食後に行ってください。
  • 4
    新しいマウスピースを装着すると最初の数日は歯に違和感や痛みがでる事があります。
  • 5
    状況により、歯を動かすためのスペースを作るために、歯を削る可能性があります。
  • 6
    マウスピースのお手入れは、歯ブラシで磨き(歯磨剤は不可)、専用のマウスピース洗浄剤で洗い、清潔に保ってください。

インビザラインの流れ

初診カウンセリング

矯正治療に関するカウンセリング、簡単な口腔内診査の後、治療方針、費用、期間についてご説明します。

精密検査

治療方針を決定するため、口腔内診査、口腔内写真、歯型スキャン、レントゲン写真などを用いて、現在の歯並びや顎の骨の状態などを詳しく確認します。

分析・診断

精密検査の結果を分析して、患者さんごとに最適な矯正治療方針を決定します。装置の使用方法、費用、期間などについても詳しくご説明します。

シミュレーション動画の確認

バーチャルシミュレーションを確認して頂きます。期待できる口腔内の変化を動画で見ることが可能で、結果がイメージしやすいと好評です。

治療開始

患者さん専用に作られたマウスピースを使用して矯正治療を開始します。1日20時間程度、食事や歯みがき以外の時間に装着して頂きます。

通院

歯を少しずつ動かします。装置は1週間で交換し、6~10週間に1度、通院して頂きます。次の期間に使用するマウスピースをお渡しするほか、歯が計画通りに動いているのか確認します。通院時に数週間分をまとめてお渡しして、ご自身で新しい装置に取り換えて頂きます。

保定期間

移動を終えた後も、しばらくの間は歯が元の位置に戻ろうとします。保定装置を使用して、歯並びを安定させる時間が保定期間です。保定装置の確認とクリーニングを行います。6~12カ月に1度、2年間の通院をおすすめしています。

パソコン|モバイル
ページトップに戻る