【毎週月曜~日曜まで毎日診療】仙台駅、榴ヶ岡駅から徒歩圏内のアクセスに便利な歯医者です。お電話はなるべく診療時間内にお願いします。

仙台MTビル(旧森ビル)の歯科医院

〒983-0852 仙台市宮城野区榴岡4-2-3仙台MTビル1F   (廻鮮寿司塩釜港さんの裏)

JR仙台駅 徒歩3分、地下駐車場40台あり、付近に駐輪場193台あり

診療時間(祝祭日のみ休診)
平日 10:00-14:00 / 16:00-20:00
土曜  9:00-13:00 / 14:00-18:00
日曜  9:00-14:00

【毎週月曜~日曜まで毎日診療】仙台駅、榴ヶ岡駅から徒歩圏内のアクセスに便利な歯医者です。お電話はなるべく診療時間内にお願いします。

仙台MTビル(旧森ビル)の歯科医院

〒983-0852 仙台市宮城野区榴岡4-2-3仙台MTビル1F   (廻鮮寿司塩釜港さんの裏)

JR仙台駅 徒歩3分、地下駐車場40台あり、付近に駐輪場193台あり

診療時間(祝祭日のみ休診)
平日 10:00-14:00 / 16:00-20:00
土曜  9:00-13:00 / 14:00-18:00
日曜  9:00-14:00

メタルフリー治療
(金属を使用しない治療)

これまでは、銀歯は使いやすい金属として歯科治療に多く使用されてきました。しかし、見た目の悪さ・銀歯の中の新しい虫歯のリスク・歯周病のリスク・金属アレルギーの可能性・経年的な劣化など、問題点も多くあります。そこで、ノーブルデンタルクリニック仙台では、選択肢の一つとして被せ物や土台にいたるまで金属を全く使用しない「メタルフリー治療」をおすすめします。

当院のメタルフリー治療の種類

CR充填

コンポジットレジンとは歯の色に近い樹脂製の材料で、プラスチックを歯科用に開発したものです。特殊な光を照射することによって、ペースト状のものが短時間に硬化するのが特徴です。歯と接着するため歯とコンポジットレジンの間から虫歯になりにくいです。また、小さな虫歯であれば保険適応で、白く、短時間でできるという利点があります。

セラミック治療

セラミッククラウン(被せ物)は、歯全体を覆うようにかぶせる被せ物です。歯質の欠損が大きい場合や神経を取った場合には、コアと呼ばれる土台を入れてから、セラミッククラウンを被せます。セラミッククラウンでは、保険の被せ物と違い、自分の歯と分からないほどの透明感があります。

ノンクラスプデンチャー

『ノンクラスプデンチャー』は、金属製の金具の代わりにプラスチック製の義歯床で支えます。そのために金属アレルギーの方には安心です。また、口を開けてもが金具が見えないので見た目も良好です。さらに、今までの入れ歯とは異なり、破折に強い素材を使用して歯肉の色調とも調和します。

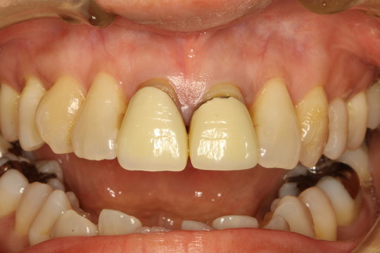
銀歯を使用することのデメリット

①二次虫歯と歯周病になりやすい

保険治療で治療費が安いというメリットはありますが、金属の詰め物や被せ物を使用することで、様々なデメリットがあります。その一つが二次虫歯と歯周病になりやすいということです。二次虫歯とは、虫歯が金属の詰め物や被せ物の下で再発してしまうことです。歯周病は、口の中の細菌が骨を溶かしていき、最後には歯が抜け落ちてしまう病気です。

②金属アレルギーの発生リスクがある

金属がイオン化すると金属イオンが体内に入ってきます。体内に入ってきた金属イオンは体の中のタンパク質と反応します。この「金属とタンパク質とが結合した新しい物質」が異物と認識され、次に同じ金属が体内に入ってきた時に攻撃されます。それと同時に皮膚や粘膜も破壊されててしまい、金属アレルギーが発生します。

③見た目が良くない

硬質レジン前装冠

裏側は金属で表側は硬いプラスチック材(硬質レジン)を貼り付けたものです。表側のプラスチックが経年的に劣化して黄ばんできます。

メタルインレー

銀歯の詰め物で主に金銀パラジウム合金が使用されます。基本的に見た目はよくありません。

前装冠
メタルインレー

④黒く変色してしまう

メタルコアの使用により、「ブラックマージン」が生じてしまうことがあります。ブラックマージンとは、クラウンやブリッジなどの補綴物やメタルコアなどの金属が露出することによって歯ぐきの境目に生じる黒いラインのことです。審美的に大きなデメリットとなります。また、メタルコアの使用により、「メタルタトゥ」を生じることもあります。メタルタトゥーとは、クラウンやブリッジなどの補綴物やメタルコアなどの金属が溶け出して歯肉に沈着し、歯ぐきが黒く変色してしまう状態です。 

どうぞお気軽にご相談下さい

ノーブルデンタルクリニック仙台は【日曜診療】【夜間診療:平日の夜8時まで受付】です。

パソコン|モバイル
ページトップに戻る