【毎週月曜~日曜まで毎日診療】仙台駅、榴ヶ岡駅から徒歩圏内のアクセスに便利な歯医者です。お電話はなるべく診療時間内にお願いします。

仙台MTビル(旧森ビル)の歯科医院

〒983-0852 仙台市宮城野区榴岡4-2-3仙台MTビル1F   (廻鮮寿司塩釜港さんの裏)

JR仙台駅 徒歩3分、地下駐車場40台あり、付近に駐輪場193台あり

診療時間(祝祭日のみ休診)
平日 10:00-14:00 / 16:00-20:00
土曜  9:00-13:00 / 14:00-18:00
日曜  9:00-14:00

【毎週月曜~日曜まで毎日診療】仙台駅、榴ヶ岡駅から徒歩圏内のアクセスに便利な歯医者です。お電話はなるべく診療時間内にお願いします。

仙台MTビル(旧森ビル)の歯科医院

〒983-0852 仙台市宮城野区榴岡4-2-3仙台MTビル1F   (廻鮮寿司塩釜港さんの裏)

JR仙台駅 徒歩3分、地下駐車場40台あり、付近に駐輪場193台あり

診療時間(祝祭日のみ休診)
平日 10:00-14:00 / 16:00-20:00
土曜  9:00-13:00 / 14:00-18:00
日曜  9:00-14:00

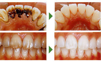
歯の着色の除去

歯の着色の原因

紅茶やコーヒーなどの飲食物やタバコのヤニが歯の着色の大きな原因です。 カレーなどの色の濃いものは歯磨きすればとれます。問題なの歯磨きしても落ちにくい着色です。もっとも着色が残りやすいのは、紅茶や緑茶、烏龍茶などのリーフティー、赤ワインだと言われています。歯の表面に沈着すると着色を除去するのが難しくなります。 

着色除去の方法と費用

スケーリング

着色除去の前にまずはスケーリングを行って歯石を除去する必要があります。スケーリングは歯周病の治療を目的として行うために保険適用になっています。治療前に歯周病の検査をきちんと行います。費用は「約3500円」になります。

PMTC

歯石の除去後は、『PMTC(Professional Mechanical Tooth Cleaning)』と呼ばれる「機械的歯面清掃」を行います。「PMTC」では、歯磨きだけではとりきれない歯垢を落とすことで、虫歯や歯周病の予防をします。また、着色汚れ(ステイン)やタバコのヤニも除去することが可能です。「PMTC」に使われる器具には、「ラバーチップ」という歯と歯の間の汚れを取るものや、『ポリッシング(歯の研磨)』に使用するブラシなどがあります。口の状態に応じて、これらの器具を使い分けて歯をきれいにしていきます。「PMTC」は原則は保険外で行われることになります。ただし、虫歯や歯周病の予防のために行う場合は保険適用になる場合もあります。その場合の費用は「約3500円」になります。

強力ジェット噴射

食事のときに付着する歯の表面の着色汚れは「ジェットクリーニング」で落としていきます。ジェットクリーニングでは、水とパウダーをジェット噴射の勢いで歯の表面に吹きかけて着色汚れを落としていきます。エアフローと言われることもあります。歯の表面の着色汚れの中には、コーヒーや紅茶、赤ワインなどを飲むと付着する「ステイン」と呼ばれるものがあります。このステインも、ジェットクリーニングの力で落とすことが可能です。また、歯にこびり付いたタバコのヤニの除去にも効果的です。ジェットクリーニングは、歯のクリーニングのオプションで行われるため、基本的には保険が適用されないことになっています。

当院の歯の着色除去の特徴

痛みの少ない治療

ラバーカップやチップなど専用の器具を使って歯の表面を磨いて着色を除去します。また、着色が強固な場合にはエアフローというジェットエアーで超微粒子の粉末を歯に吹きかけて着色を除去する器具を使用する場合もあります。当院では、少しずつ時間をかけて、なるべく痛みがないように治療を行います。

きれいな仕上がり

当院ではエアフローと呼ばれる小さな粉を歯に吹き付けます。1回の施術で効率よく汚れを除去でき、歯の表面に付着した粒子が表面を磨き上げるのでツルツルになります。この粉を吹き付けるというやり方が 痛みがなく、気持ちも良いです。

仕上げにフッ素塗布

フッ素はエナメル質の修復を促進して歯の強度を高める効果と口腔内の細菌の働きを抑えることで虫歯の発生を防ぐ効果があります。歯の表面にフッ素塗布を行うことで、歯質の強化と虫歯の予防を図ります。また、歯周病の原因菌の活動を抑えることで歯周病のリスクも軽減させます。

パソコン|モバイル
ページトップに戻る